Key Outcomes

Learn the essential steps of crown lengthening surgery

Master the art of soft tissue management for optimal results

Understand the role of crown lengthening in restorative dentistry

Explore advanced techniques for predictable outcomes

Meet Our Expert Speakers

Dr. Mihnea Cafadaru

Periodontology and Implant Dentistry

With over 15 years of experience, Dr. Cafadaru is a leading expert in periodontal surgery and dental implants.

COURSE SERIES BENEFITS

Master advanced crown lengthening procedures in periodontology and prosthodontics

Teeth and implants in complex cases

Prosthetic management

Complex cases management

WEBINAR DETAILS

english language

Customized for global attendees

.

30 days access

30 days access for recorded session

.

Biology and Rationale

Discover the Logic Behind Crown Lengthening Procedures

Surgical Principles

Precision Methods for Crown Lengthening

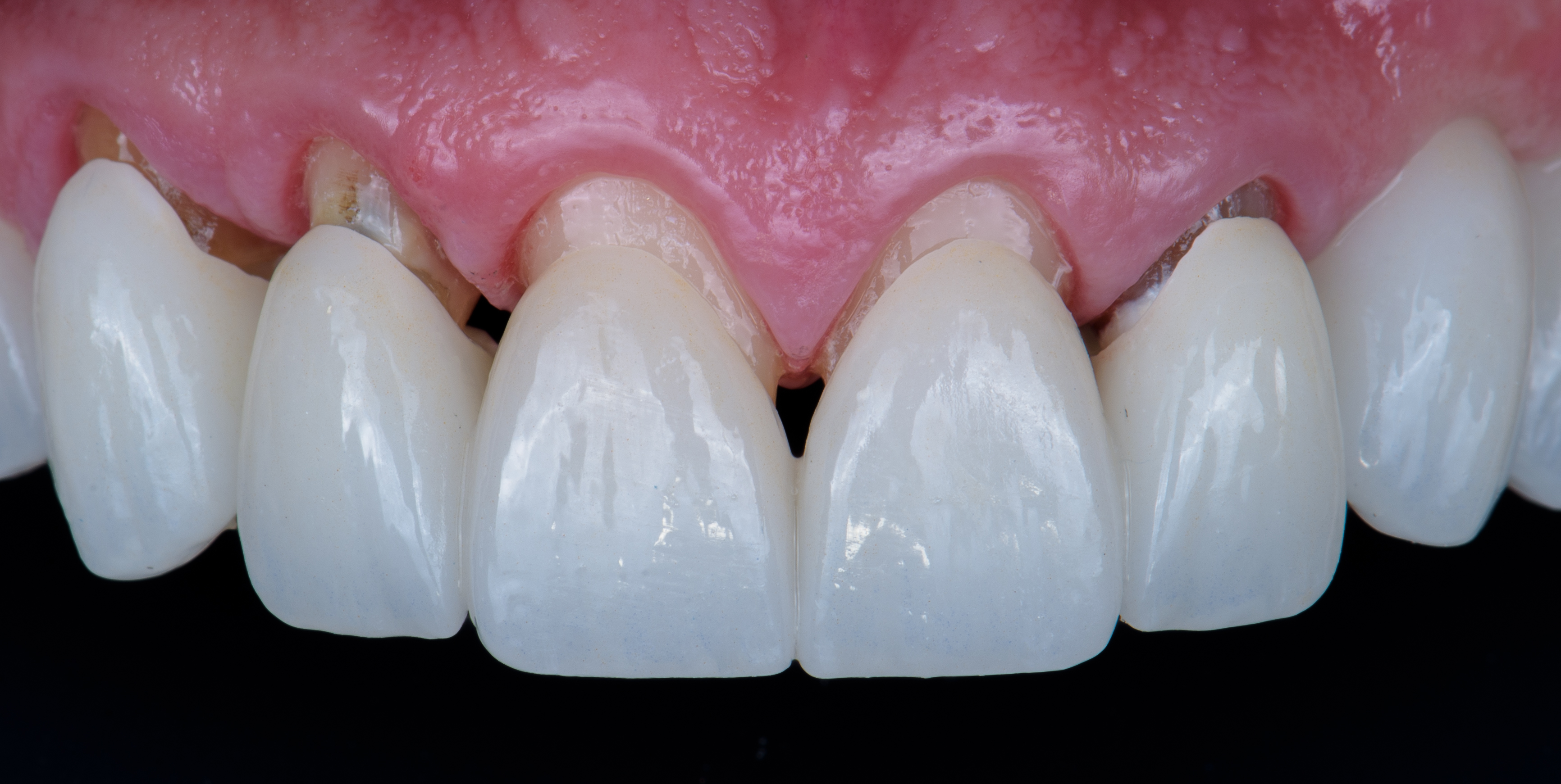
Function and Aesthetics

Achieve stable results after crown lengthening

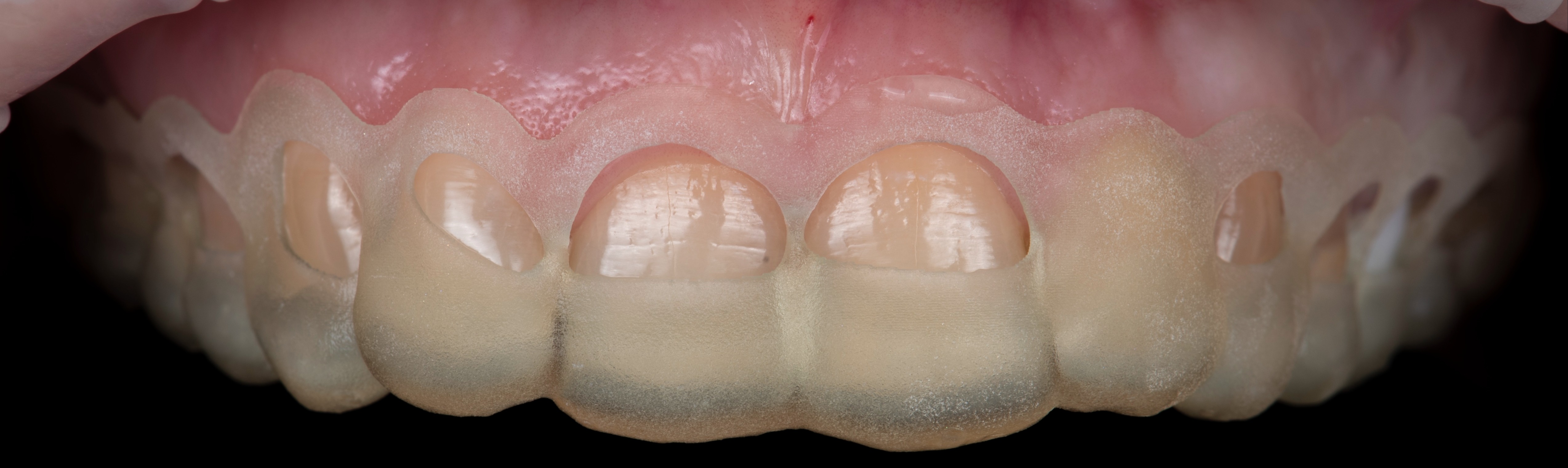
Soft tissue management in Crown Lengthening Procedures

Flap management

Discover the strategic impact of proficient flap management in periodontology on treatment success.

Connective graft protocol

Using the connective augmentation together with crown lengthening can boost the final result.

Healing and provisionalisation

The prosthetic management is crucial for long term success.

Discover the World of Crown Lengthening

Join us for an in-depth exploration of crown lengthening procedures, from indications to post-operative care. This event is designed to equip you with the knowledge and skills needed to enhance your practice and deliver exceptional patient care.

Resective Surgery in Periodontology and Prosthodontics

Unlock the Hidden Potential with Resective Surgery Benefits

Ready to Elevate Your Practice?

Take your skills to the next level. Reserve your spot now!

€125,00