What You'll Learn

Master advanced crown lengthening procedures in periodontology and prosthodontics

Teeth and implants in complex cases

Prosthetic management

Complex cases and management using Smile Cloud

Meet Our Expert Speakers

Dr. Mihnea Cafadaru

Periodontology and Implant Dentistry

With over 15 years of experience, Dr. Cafadaru is a leading expert in periodontal surgery and dental implants.

Course language ENGLISH

Customized for global atendees

30 days access

30 days access for recorded session

Q & A 

We will answer to all your questions

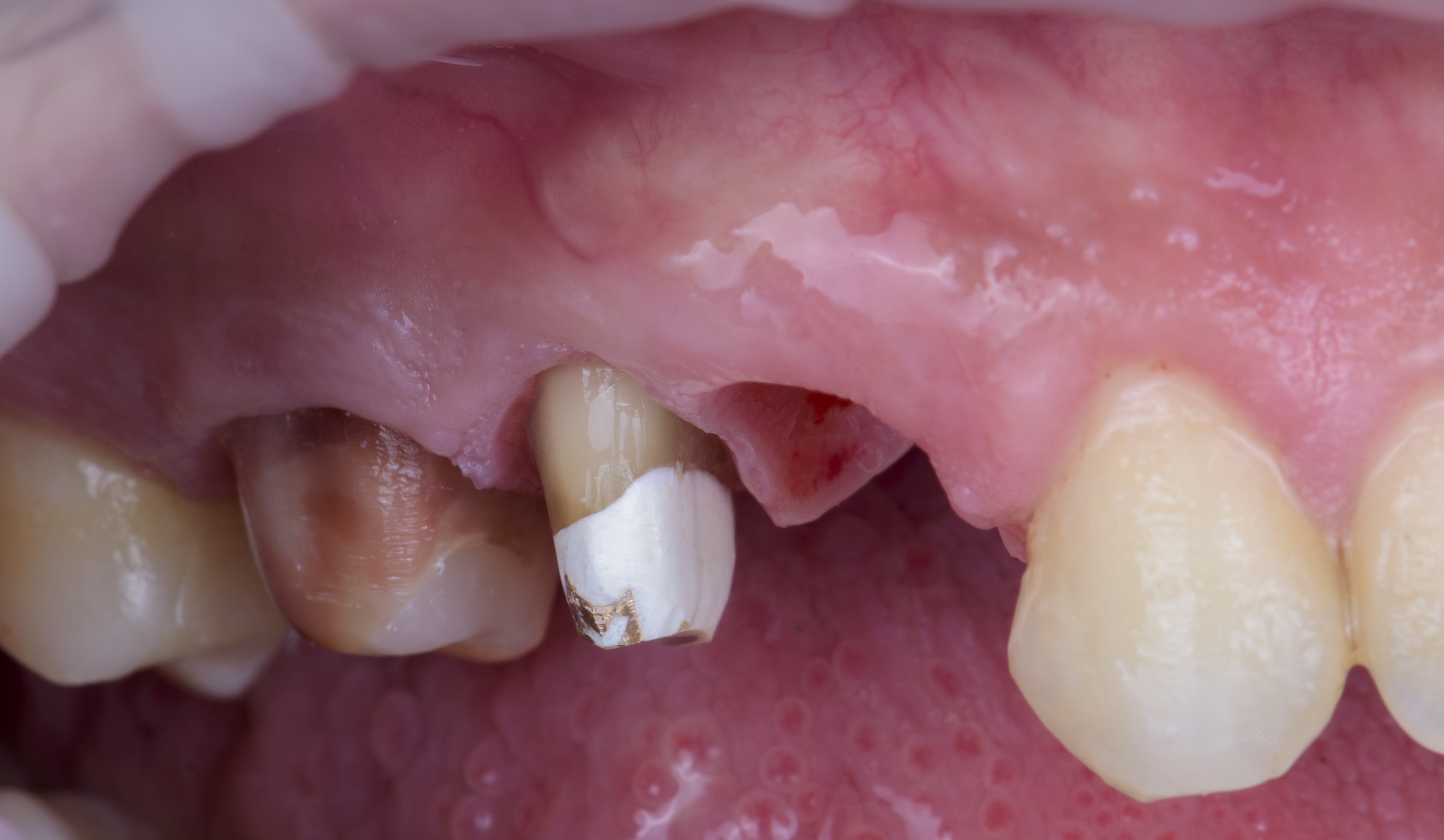
Surgery in the Anterior Region

Anterior region is demanding, due to the high risk of aesthetic complications.

Combined cases Implant-Teeth

We often need to adress both teeth and implant-related scenarios.

Prosthetics

Describe a key feature that sets you apart, solves a problem, or adds value to your users.

About the Event

Join us for an in-depth exploration of crown lengthening procedures, from from complex cases to post-operative care. This event is designed to equip you with the knowledge and skills needed to enhance your practice and deliver exceptional patient care.

Elevate Your Practice Today

Don't miss out on this exclusive opportunity to enhance your skills and patient outcomes with cutting-edge crown lengthening techniques. Reserve your spot now!

€125,00