What You'll Learn

Master recession coverage in upper and lower teeth

Enhance skills in mucogingival surgery

Manage scenarios in bone resorption and periodontal stability

Discuss challenges in periodontal care

Meet the speakers

Dr. Mihnea Cafadaru

Perio/Implant Trainer | Dental Clinique Training Center

With over 15 years of experience, Dr. Cafadaru is a leading expert in periodontology, implantology and mucogingival surgery.

Unlimited access for 30 days.

Get ready to master Mucogingival Surgery, even after the course is over! The course will be conveniently recorded and sent straight to your inbox or available on our platform. Enjoy unlimited access for 30 days after the live event ends.

What you'll learn

Manage the soft tissue in aesthetic and non-aesthetic regions

Recession coverage for aesthetic or functional concerns.

Create the right flap design for different scenarios

There is no "ONE technique fits all". We must learn to choose the right technique, from tunneling to Coronally Advanced Flap (CAF).

Choose the right graft type

FGG or connective tissue grafts will give us great results, but in certain scenarios we must choose a specific graft, in order to maximize the final result.

Join Our Live Event for Dental Professionals

This live event is designed to help periodontists, implant dentistry specialists, and general dentists improve their skills in mucogingival surgery around teeth. Dive deep into recession coverage, periodontal care challenges, and more to elevate your practice.

Our key partners

Our partners will provide special gifts and prices for the participants

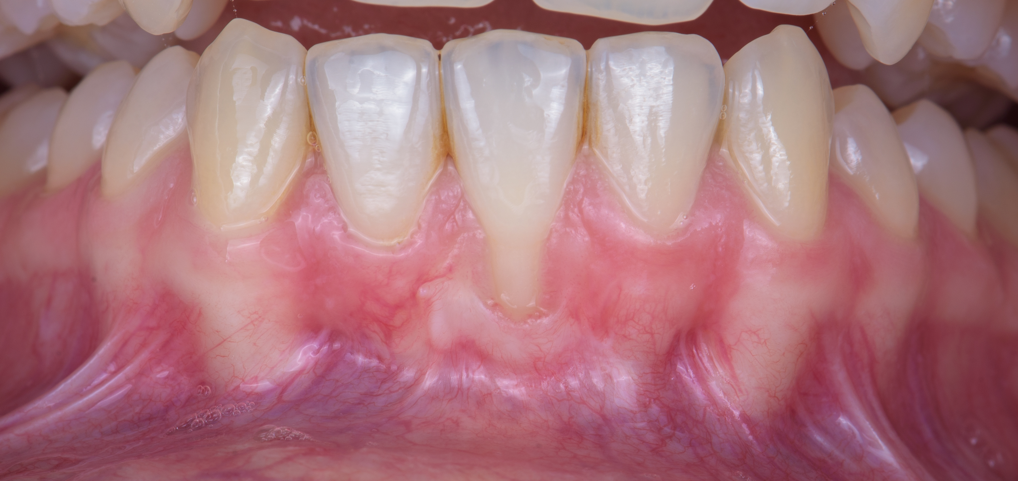
Stable Results For Your Cases

Our cases should be stable. Perfection is something we find in our patient's satisfaction.

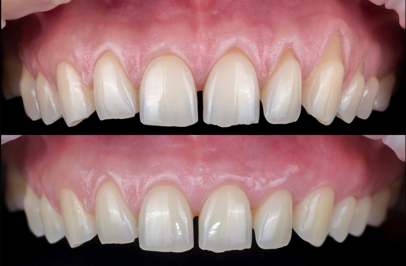
Recession Coverage Maxillary Teeth

Aesthetic concerns, hypersensitivity, cleaning ease. All resolved with mucogingival surgery!

Confort

The only prerequisite for a successful case!

Take Your Skills to the Next Level

Elevate your practice with expert insights and practical knowledge. Don't miss out on this exclusive opportunity to enhance your skills and grow your expertise in mucogingival surgery.

€150,00